
El tejido conectivo es el tejido que conecta, separa y soporta todos los demás tipos de tejidos del cuerpo. Como todos los tipos de tejido, está formado por células rodeadas por un compartimento de fluido llamado matriz extracelular (MEC). Sin embargo, el tejido conectivo difiere de otros tipos en que sus células están sueltas, en lugar de apretadas, dentro de la MEC.
Basándonos en las células presentes y en la estructura de la matriz extracelular, diferenciamos dos tipos de tejido conectivo:
- Tejido conectivo propiamente dicho; dividido en tejidos conectivos densos y laxo.
- Tejido conectivo especializado; tejidos reticulares, sanguíneos, óseos, cartílagos y adiposos.
Sabemos que hay temas de histología mucho más interesantes que el tejido conectivo, como el tejido muscular o el neural. Pero como el tejido conectivo es el pegamento que mantiene todos los demás tejidos juntos, tiene la importante función de asegurar que nuestros sistemas corporales trabajen en armonía.
Resumen del tejido conectivo | |
---|---|
Tejido conectivo denso | Células: fibroblastos Fibras: fibras de colágeno fuertemente empaquetadas en el MEC, ya sea en orden paralelo (densas regulares), o entrelazadas al azar (densas irregulares) |
tejido conectivo laxo | Células: fibroblastos Fibras: fibras de colágeno vagamente dispersas en la MEC |
Tejido conectivo reticular | Células: células reticulares Fibras: fibras reticulares organizadas en redes delicadas |
Cartílago | Células: condrocitos Matriz extracelular: colágeno II (cartílago hialino), fibras elásticas (cartílago elástico), colágeno I (fibrocartílago) |
Hueso | Células: osteoblastos, osteocitos, osteoclastos Matriz extracelular: láminas calcificadas |
Sangre | Células: eritrocitos, leucocitos, plaquetas Matriz extracelular: plasma sanguíneo |
Tejido adiposo | Células: adipocitos blancos y marrones Matriz extracelular: no matriz extracelular |
Tejido conectivo embrionario | Mesénquima: células mesenquimales en fibras reticulares ricas en matriz extracelular Tejido mucoide: células mesenquimales en la matriz extracelular rica en colágeno |
En este articulo explicaremos lo que es el tejido conectivo y le presentará una visión general de sus tipos.
Células y fibras de tejido conectivo
Los tres componentes del tejido conectivo son las células, la sustancia base y las fibras. La sustancia base y las fibras forman la matriz extracelular.
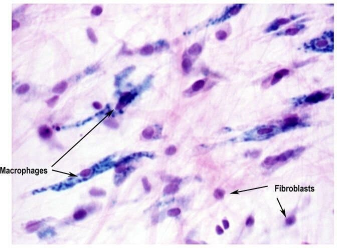
La célula primaria del tejido conectivo es el fibroblasto. Su función es producir y mantener la matriz extracelular del tejido conectivo. Además de los fibroblastos, hay otros tipos de células presentes. Estas son las células del sistema inmunológico (macrófagos, linfocitos y mastocitos) y los adipocitos.
El tejido conectivo especializado contiene células especializadas, por ejemplo, el cartílago contiene condrocitos y el hueso contiene osteocitos.
La sustancia base es un gel viscoso hecho de agua, proteoglicanos, glicoproteínas y glicosaminoglicanos. Éstos hacen que la sustancia base sea viscosa y ligan grandes cantidades de agua, lo que permite la hidratación, la difusión de los nutrientes y la nutrición de los tejidos.

Hay tres tipos de fibras proteínicas: colágeno, elásticas y reticulares. Las fibras de colágeno y las reticulares pertenecen a la familia del colágeno, de la cual hay más de 20 tipos diferentes.
Las fibras de colágeno están hechas predominantemente de colágeno tipo I. Son el tipo de fibra proteínica más abundante, proporcionando diversos grados de fuerza y rigidez a los tejidos.
Las fibras reticulares consisten en colágeno tipo III, son fibras finas y delicadas que forman redes como mallas en órganos como el bazo, los riñones y los ganglios linfáticos.
Las fibras elásticas están hechas de la proteína elastina, dando propiedades de estiramiento y flexión a los tejidos. Se encuentran principalmente dentro de las paredes de los grandes vasos sanguíneos, los cartílagos elásticos, los ligamentos amarillos, los pulmones y la piel. Las variaciones en las combinaciones y arreglos de las células y fibras proteínicas dan como resultado los diferentes tipos de tejido conectivo.
Función del tejido conectivo
El tejido conectivo tiene una amplia variedad de funciones que dependen de los tipos de células y las diferentes clases de fibras involucradas.
El tejido conectivo irregular, suelto y denso, formado principalmente por fibroblastos y fibras de colágeno, tiene una importante función en el suministro de un medio para que el oxígeno y los nutrientes se difundan desde los capilares hasta las células, y el dióxido de carbono y las sustancias de desecho se difundan desde las células hasta la circulación.
También permiten que los órganos resistan las fuerzas de estiramiento y desgarro. El tejido conectivo regular denso, que forma estructuras organizadas, es un componente funcional importante de los tendones, ligamentos y aponeurosis, y también se encuentra en órganos altamente especializados como la córnea.
Las fibras elásticas, hechas de elastina y fibrilina, también proporcionan resistencia a las fuerzas de estiramiento. Se encuentran en las paredes de los grandes vasos sanguíneos y en ciertos ligamentos, particularmente en el ligamenta flava.
En los tejidos hematopoyéticos y linfáticos, las fibras reticulares fabricadas por las células reticulares proporcionan el estroma, o soporte estructural del parénquima, o parte funcional del órgano.
El tejido conectivo propiamente dicho
El tejido conectivo propiamente dicho se encuentra en todo el cuerpo. Hay dos subtipos de tejido conectivo propiamente dicho; laxo y denso. Se diferencian en la disposición estructural de su matriz extracelular.
Tipos de tejido conectivo

Tejido conectivo laxo
El tejido conectivo laxo también se llama tejido conectivo areolar. Tiene casi la misma cantidad de células, fibras y sustancia base. Las células principales son los fibroblastos.
Sin embargo, las células del sistema inmunológico también están presentes. Las fibras de colágeno son las fibras principales de la matriz extracelular (MEC). Están escasamente distribuidas dentro de la MEC, por lo que este tipo de tejido se llama «laxo». Además de las fibras de colágeno, también están presentes cantidades moderadas de fibras reticulares y elásticas.
El tejido conectivo laxo es el tipo de tejido conectivo más ampliamente distribuido, que se encuentra en el revestimiento de las superficies internas del cuerpo. La combinación de células y fibras hace que el tejido conectivo suelto sea flexible pero no muy resistente a la tensión mecánica.
Esto permite que el tejido juegue un papel importante en la unión de otros tipos de tejido, por ejemplo, uniendo tejidos en órganos, manteniendo los órganos en su lugar y uniendo el tejido epitelial a otros tipos de tejido. La presencia de células del sistema inmunológico añade una función inmunoprotectora del tejido conectivo.
Entre los ejemplos de tejido conectivo laxo figuran: la lámina propia de las vías alimentarias y respiratorias, las membranas mucosas de las vías reproductivas y urinarias, las glándulas, el mesenterio y la dermis de la piel.
Tejido conectivo denso
El tejido conectivo denso tiene menos células que el laxo. En cambio, su MEC está densamente lleno de fibras de colágeno. Según la disposición de las fibras, hay dos subtipos de tejido conectivo denso; denso regular y denso irregular.
El tejido conectivo denso regular tiene las fibras de colágeno alineadas paralelamente entre sí. Esta disposición proporciona al tejido una alta resistencia unidireccional a la tensión. Los mejores ejemplos de tejido conectivo regular denso son los tendones y ligamentos.
El tejido conectivo irregular denso tiene fibras de colágeno entrelazadas aleatoriamente, formando una red tridimensional resistente a la distensión en todas las direcciones. Normalmente se encuentra en las cápsulas y paredes de los órganos, la dermis de la piel y las glándulas.
Tejidos conectivos especializados
Tejido conectivo reticular
El tejido conectivo reticular es producido por fibroblastos modificados llamados células reticulares. Éstas producen fibras reticulares dispuestas en una red entrelazada (retículo), similar al tejido conectivo irregular denso.
La diferencia entre ellos es que las fibras reticulares son más finas, componen una malla más delicada, con células reticulares que permanecen adheridas a las fibras.
El tejido reticular soporta el estroma de los órganos del cuerpo, especialmente el linfoide. Las mallas reticulares filtran la linfa y proporcionan un microambiente para el paso y la fijación de los glóbulos blancos. Así, está presente en la médula ósea roja, los ganglios linfáticos y el bazo.
Cartílago
El cartílago es el tejido conectivo avascular que conecta los huesos en las articulaciones y comprende las paredes de las vías respiratorias superiores y el oído externo.
Está rodeado de pericondrio, una capa de tejido conectivo denso. El pericondrio es rico en vasos sanguíneos y suministra el cartílago. Las principales células del cartílago son los condrocitos, alojados en cavidades dentro de la MEC llamadas lagunas.
La matriz extracelular es vasta, rica en agua unida a glicosaminoglicanos. Esta estructura de la MEC hace que el cartílago sea flexible en varios grados, pero resistente al estrés mecánico.
Hay tres tipos de cartílago;
- Cartílago hialino: el tipo más representado. Rico en moléculas de colágeno II, se encuentra en la superficie articular de las articulaciones (como cartílago articular), en las paredes de las vías respiratorias superiores y en los extremos medulares de las costillas.
- Cartílago elástico: tiene muchas fibras elásticas. Se encuentra en las paredes de la oreja externa, la epiglotis y el cartílago cuneiforme de la laringe.
- Fibrocartílago: tiene muchas moléculas de colágeno I. Comprende discos articulares, como los discos intervertebrales, la sínfisis púbica y el menisco de la rodilla.
Hueso
El hueso es el tejido que comprende el esqueleto del cuerpo. Como todos los tejidos conectivos, el hueso está compuesto por células dentro de una matriz extracelular de fibras (predominantemente colágeno tipo 1) y sustancia base.
La matriz ósea extracelular está mineralizada y dispuesta en capas circulares llamadas láminas. Estas láminas se circunscriben alrededor de un canal central (conducto de Havers) que sirve para el paso de la neurovasculatura que abastece al hueso y alberga las células.
La matriz extracelular ósea es producida y mantenida por varias células; osteoblastos, osteocitos y osteoclastos. Los osteoblastos son células que producen activamente la matriz ósea.
Cuando están inactivos, se llaman osteocitos. Los osteoclastos hacen lo contrario; absorben la matriz ósea. La función sincronizada de estas células es necesaria para la recuperación de los huesos rotos (remodelación ósea) y para el bienestar general del sistema esquelético.
La naturaleza celular especializada y de la MEC del hueso le permite servir como lugar de almacenamiento de calcio y fosfato, junto con sus funciones de soporte de peso y protección.
Sangre
La sangre es el tejido conectivo especializado dentro del sistema circulatorio que transporta las células sanguíneas y las sustancias disueltas por todo el cuerpo a través de los vasos sanguíneos. Como todo tejido conectivo, tiene componentes celulares y extracelulares.
La matriz extracelular de la sangre se llama plasma sanguíneo. Está compuesta por agua y solutos (proteínas, electrolitos, nutrientes, gases, hormonas y productos de desecho).
Los glóbulos sanguíneos, también llamados elementos formados, transportados por el plasma son los eritrocitos (glóbulos rojos), los leucocitos (glóbulos blancos) y los trombocitos (plaquetas). Estas células se producen en la médula ósea en el proceso de hematopoyesis.
Tejido adiposo
El tejido adiposo es el tejido conectivo que almacena la energía. Consiste en adipocitos, células llenas de lípidos (grasas). Este tejido tiene una pequeña cantidad de MEC hecha de sólo unas pocas fibras de colágeno que mantienen las células juntas. Dependiendo de cómo se distribuyan los lípidos dentro de la célula, hay tejidos adiposos blancos y marrones.
En el tejido adiposo marrón cada célula contiene múltiples gotas de grasa, rodeando el núcleo central. Este tipo se encuentra generalmente en los bebés donde en lugar de almacenar energía sirve para la termogénesis (producción de calor).
En el tejido adiposo blanco, el lípido se recoge en una única gota grande, que presiona los orgánulos contra la membrana celular.
El tejido adiposo blanco es predominante en los adultos. Almacena energía, amortigua y protege los órganos, y actúa como un órgano endocrino secretando hormonas. El tejido adiposo blanco se distribuye en las grasas viscerales y parietales.
Las grasas viscerales rodean y sostienen los órganos del cuerpo, como los globos oculares (grasa periorbital) y los riñones (grasa perinéfrica). Las grasas parietales son agregaciones incrustadas en el tejido conectivo propio de la piel, típicamente en las regiones del abdomen, la espalda y los muslos.
Tejido conectivo embrionario
El tejido conectivo embrionario se encuentra en los primeros embriones y en el cordón umbilical. Las células principales son células mesenquimales. Se dividen en mesénquima (en los embriones) y tejido conectivo mucoide (cordón umbilical).
El mesénquima se origina en el mesodermo, una de las tres capas germinativas de los embriones. Madura en otros tipos de tejidos conectivos, músculos, vasos, mesotelio y el sistema urogenital.
Sus células mesenquimales están dispersas dentro de la MEC llena principalmente de fibras reticulares. El tejido conectivo mucoide se encuentra en el cordón umbilical. Sus células mesenquimales están vagamente distribuidas dentro de un MEC rico en colágeno llamado gelatina de Wharton.